Gagne de la cryptomonnaie GRATUITE en 5 clics et aide institut numérique à propager la connaissance universitaire >> CLIQUEZ ICI <<

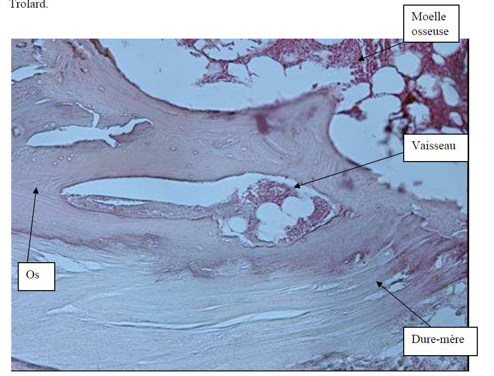
Photo INSERTIONS DE LA DURE-MERE SUR LE RACHIS Une anatomie redécouverte 32

Photo INSERTIONS DE LA DURE-MERE SUR LE RACHIS Une anatomie redécouverte 32

Previous Image

Photo INSERTIONS DE LA DURE-MERE SUR LE RACHIS Une anatomie redécouverte 32

Next Image

Photo INSERTIONS DE LA DURE-MERE SUR LE RACHIS Une anatomie redécouverte 33