Recherche
Search for:
Go
Gagne de la cryptomonnaie
GRATUITE
en 5 clics et aide institut numérique à propager la connaissance universitaire
>> CLIQUEZ ICI <<
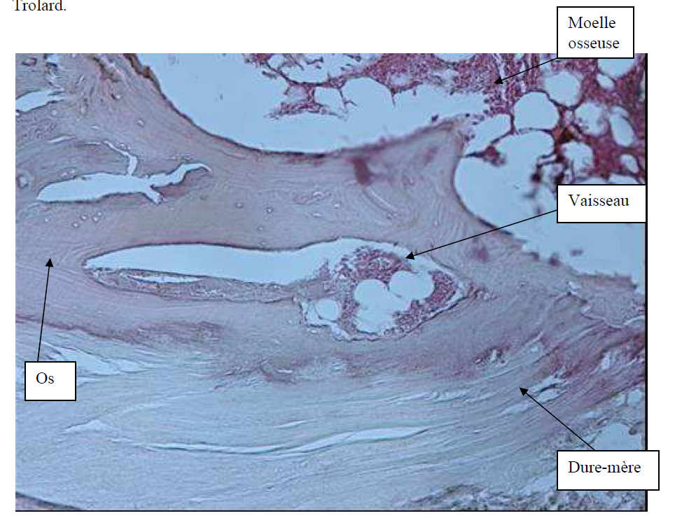
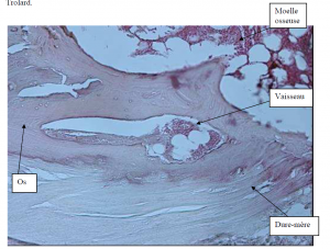
Photo INSERTIONS DE LA DURE-MERE SUR LE RACHIS Une anatomie redécouverte 32
By
admin
⋅
16/10/2012
⋅
Post a comment
Previous Image
Next Image
Publier son memoire
Actualités
Emploi
Espace Ecoles
Mémoires
Partenaires
Contact
CGU