Institut numerique

II.1.2.b. Atteintes musculaires.

Un dysfonctionnement musculaire squelettique chez les sujets atteints de BPCO est nettement mis en valeur lors d’études comparatives face à des personnes saines [4]. Ce dysfonctionnement se traduit par une faiblesse musculaire prononcée de manière plus importante au niveau des membres inférieurs que des membres supérieurs [13]. Les enregistrements faits au niveau sanguin et pulmonaires lors de tests de marches de 6 minutes (TM6) mettent en évidence une inflammation et un stress oxydatif associés à cette perte de masse musculaire [14,15]. Il est aussi rapporté chez ces patients une importante réduction des fibres de type I couplée à la réduction des enzymes oxydatives et glycolytiques au niveau des membres inférieurs [16]. Il est remarqué par la même occasion, une acidose lactique plus précoce due à l’inactivité et au déconditionnement musculaire [17]. Cette atrophie musculaire est associée à une augmentation de la proportion des fibres de type II et plus précisément des IIb. Les auteurs [4,13,15-17] suggèrent que la forte proportion des fibres II est en relation avec l’hypoxémie et à plus long terme avec l’inactivité, entraînant une baisse de la dépense énergétique journalière [18].

Même si le poids corporel global ne change pas, la masse musculaire quant à elle, subit une diminution importante. Pour donner un exemple, la force du quadriceps diminue d’environ 30% [19]

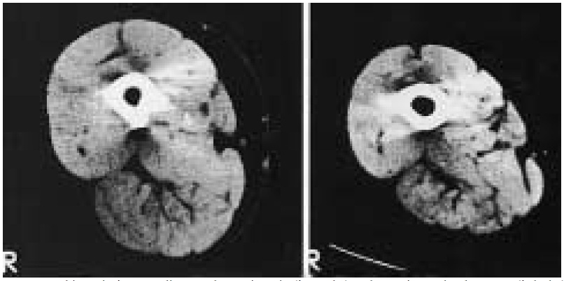
Figure.2 : Tomographie assistée par ordinateur d’un sujet sain (à gauche) et d’un sujet atteint de BPCO (à droite) appartenant au même groupe d’âge. [20]

Suite à cette amyotrophie, on peut retrouver alors, associée à une sarcopénie avancée [21] chez certains sujets MRC, une ostéoporose précoce [22] dépendante de l’atteinte pulmonaire et du niveau d’activité. On constate également un retentissement nutritionnel important. Un hyper catabolisme protéique tend à diminuer la masse maigre en proportion de la masse grasse [23]. Cependant, l’existence d’une surcharge pondérale est statistiquement associée à une meilleure survie chez les patients atteints de BPCO [24].

Page suivante : II.1.2.c. Atteintes cardiaques.

Retour au menu : COMPARAISON DE DEUX MODALITES DE REENTRAINEMENT A L’EFFORT AU SEC ET EN IMMERSION CHEZ DES PATIENTS EN REHABILITATION RESPIRATOIRE